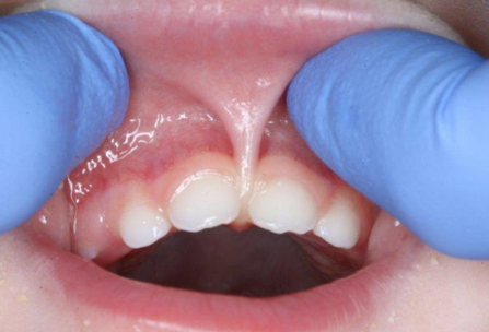
Hallo moms, sudah pernah dengar istilah lip tie? Lip tie adalah keadaan dimana selaput jaringan otot yang menghubungkan bibir atas ke gusi bagian atas, yang disebut frenulum, terlalu membatasi mobilitas mulut, karena terlalu tebal, terlalu ketat, atau keduanya. Tampilan klinis lip tie seperti yang ditunjukkan pada gambar di bawah ini:
Lip tie lebih banyak ditemukan pada bayi laki-laki dibanding bayi perempuan dan ditemukan pada 4-11% bayi yang baru lahir. Belum ada alasan tertentu mengapa seorang bayi bisa mengalami lip tie. Akan tetapi beberapa penelitian mengemukakan bahwa bayi dengan mutasi gen MTHFR (yang berperan dalam pembentukan mulut, termasuk bibir) memiliki risiko tujuh kali lipat menderita lip tie. Para peneliti yakin bahwa mutasi genetik ini biasanya terjadi pada populasi Kaukasia dan Asia.
Terdapat 4 klasifikasi lip tie berdasarkan tingkat keparahannya, yaitu sebagai berikut:
Tipe 1: frenulum tipis dan tidak begitu terlihat sehingga tidak mengganggu dan tidak diperlukan treatment khusus.
Tipe 2: frenulum melekat pada sebagian besar area gusi. Pada umumnya tidak mengganggu atau menimbilkan keluhan.
Tipe 3: frenulum terdapat di area gusi ditempat dimana gigi depan depan atas akan terbentuk. Sulit menggerakkan bibir dan meningkatnya resiko karies pada gigi depan atas.
Tipe 4: frenulum meluas hingga langit-langit mulut. Biasanya bibir atas menutupi sebagian atau keseluruhan gigi depan, meningkatnya resiko karies pada gigi depan atas.
Keadaan yang termasuk lip tie adalah tipe 3 dan 4.
Kesulitan menyusui adalah salah satu indikasi paling umum bahwa anak Moms mungkin mengalami lip tie. Gejalanya meliputi:
• kesulitan mendapatkan perlekatan yang baik saat menyusui
• kesulitan bernafas saat menyusui
• kurangnya penambahan berat badan
Jika seorang anak memiliki lip tie dan Moms seorang ibu menyusui, Moms dapat mengalami:
• rasa sakit selama atau setelah menyusui
• payudara yang terasa membesar bahkan setelah menyusui
• saluran susu tersumbat atau mastitis
• kelelahan karena menyusui terus-menerus dan sepertinya anak tidak pernah kenyang
Bayi yang memiliki lip tie yang parah (Tipe 4) dapat mengalami kesulitan dalam menyusui dan meningkatkan berat badan.
Meningkatkan resiko karies atau gigi berlubang, karena sisa makanan mudah menempel dan sulit dibersihkan pada gigi depan atas. Selain itu pada saat sikat gigi bisa jadi anak merasa tidak nyaman jika frenulum terkena sikat gigi. Sebagai solusi moms dapat menggunakan sikat gigi kain yang dipakaikan pada jari ibu, untuk membersihkan gigi depan atas.
Kedua gigi depan atas renggang. Frenulum tipe 3 dan 4 seringkali menyebabkan posisi kedua gigi atas tidak rapat atau renggang. Namun hal ini tidak perlu terlalu dikhawatirkan, tindakan frenectomy dapat dipertimbangkan untuk dilakukan ketika semua gigi permanen sudah tumbuh (sekitar usia 12 tahun) dan posisi gigi masih renggang.
Kesulitan dan keterlambatan bicara. Jaringan frenulum yang terlalu kencang dapat membatasi mobilitas bibir sehingga mempengaruhi kemampuan bicara anak. Jika anak memiliki lip tie dan mengalami kesulitan bicara, segera konsultasikan ke dokter spesialis anak.
Apa yang harus dilakukan jika anak menderita lip tie?
Untuk kondisi frenulum tipe 3 dan 4 mungkin memerlukan prosedur insisi yang disebut “frenectomy”. Prosedur ini dapat dilakukan oleh dokter anak atau dalam beberapa kasus dilakukan oleh dokter gigi anak.
Prosedur frenectomy bertujuan untuk memisahkan frenulum yang menghubungkan bibir dengan gusi. Prosedur ini dapat dilakukan dengan menggunakan laser atau gunting bedah yang telah disterilkan.
Apakah semua lip tie perlu dilakukan frenectomy?
Tidak, tidak semua keadaan lip tie perlu diinsisi. Jika anak tidak memiliki kesulitan dalam menyusui dan berat badan normal, maka tindakan frenectomy tidak perlu dilakukan.
Untuk lip tie yang menyebabkan gigi depan atas renggang, tidak perlu terburu-buru untuk dilakukan insisi. Gigi renggang kadangkala dapat terkoreksi dengan sendirinya tanpa perlu melakukan frenectomy. Oleh sebab itu disarankan agar menunggu hingga gigi permanen tumbuh semua, sekitar usia 12 tahun, untuk melakukan tindakan frenectomy.
